|
|
|
Nach professioneller Zahnreinigung - Eine professionelle Zahnreinigung kann wirksam und schonend Verfärbungen durch Ablagerungen auf der Zahnoberfläche (z. B. Raucher-, Kaffee- oder Teebeläge) entfernen. |
Nach dem Bleichen der Zähne - Durch das Bleichen der Zähne werden nachgedunkelte Zähne wieder aufgehellt, das natürliche Weiß der Zähne wird wieder sichtbar. |
|
|
|
Kunststofffüllungen - Kunststofffüllungen werden in plastischer Konsistenz in einer aufwändigen Schicht- und Klebetechnik in die Kavität eingebracht und mit speziellem Licht ausgehärtet. |
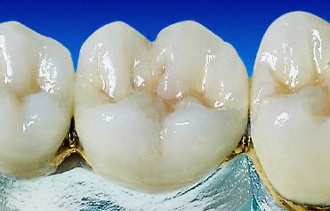
Keramikinlays - Keramikinlays werden im Labor vom Zahntechniker hergestellt. Die Vorteile sind sowohl die hohe Ästhetik und Biokompatibilität als auch die Passgenauigkeit und lange Haltbarkeit. |
|
|
|
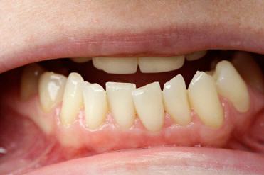
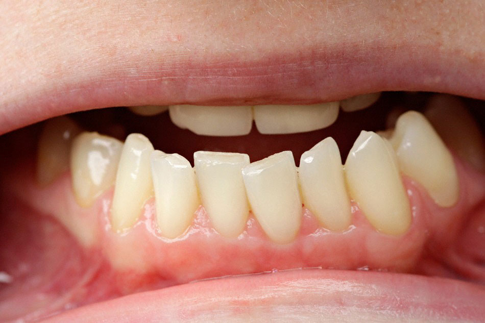
Veneers - Veneers sind hauchdünne lichtdurchlässige Keramik-Verblendschalen, die auf die Vorderseite der Frontzähne geklebt werden. Sie bieten hervorragende Ästhetik und kommen sowohl bei Zahndefekten als auch bei Beseitigung von Fehlstellungen, Lücken und bei Korrekturen von Form und Farbe zum Einsatz. |
Veneers |
|
|
|
Krone - Verblendkronen erfüllen hohe Ansprüche an jahrelang gleich bleibende Zahnfarben und an dauerhafte Stabilität. Keramik ist kaudruckstabil und mit dem Metallgerüst fest verbunden. |
Keramikbrücke - Vollkeramikkronen kommen zum Einsatz, wenn die Zahnrestauration mittels Füllung oder Veneer wegen zu großen Zahndefekten nicht mehr in Frage kommt. Sie bringt viele Vorteile mit sich: hohe Ästhetik durch Transluzenz und Transparenz, Biokompatibilität und lange Haltbarkeit. |
|
|
|
Verblendbrücken haben als Gerüst eine Metalllegierung, die jedoch mit Keramik verblendet werden kann. Dadurch wird die Beeinträchtigung der Ästhetik vermieden. |
Adhäsiv-/Klebebrücken werden bei fehlenden Oberkiefer-Frontzähnen eingesetzt, besonders bei Jugendlichen, wenn die Nachbarzähne soweit Karies- bzw. füllungsfrei sind. Sie werden mit Hilfe von flügelartigen Fortsätzen durch das Klebeverfahren angebracht. |
|
|
|
Vollkeramikbrücken haben ein Gerüst aus Zirkondioxid und bieten durch Transluzenz und Transparenz eine hohe Ästhetik. |
Implantate aus Titan oder Zirkondioxid bringen viele Vorteile mit sich: sie vermeiden den Knochenabbau und fördern die Zahnfleischregeneration, außerdem werden dabei keine Nachbarzähne beschliffen. |